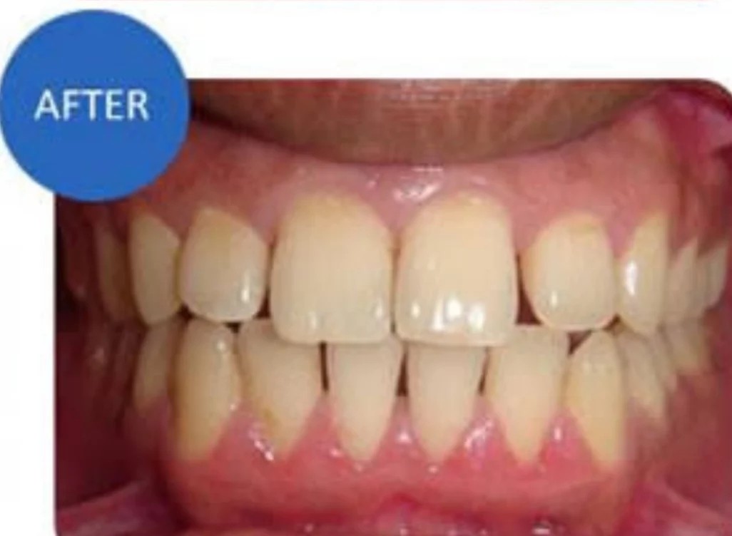
Scaling and Polishing

What is scaling?

Scaling refers to the removal of plaque and calculus (the white or yellow hard deposits that accumulate on your teeth and are not removable by routine brushing). 

What is Polishing?

Polishing refers to the removal of stains and very small particles of calculus.

Before Scaling and Polishing After Scaling and Polishing